テトラサイクリン歯をホワイトニング

皆さんは
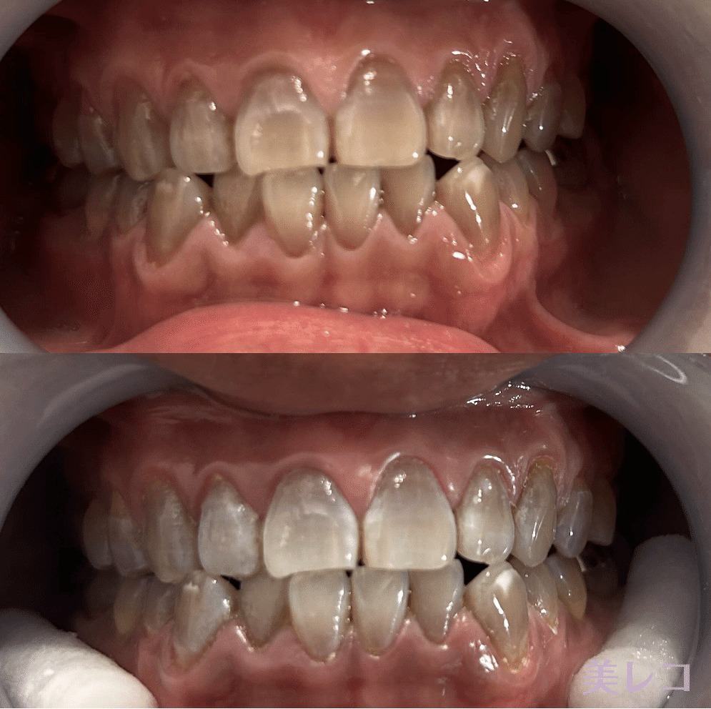
テトラサイクリンの歯をご存知でしょうか?↓このような歯に変色がある歯です。
以下に原因や予防策、治療方法をchatGPTより引用いたします。
⭐️テトラサイクリン歯とは、テトラサイクリン系抗生物質の使用によって歯が変色する現象を指します。この変色は歯の形成期にテトラサイクリンを服用することが原因で発生します。以下にその原因と影響について詳しく説明します。
⭕️原因
テトラサイクリン歯の変色は、テトラサイクリンが歯の硬組織に取り込まれ、光や酸化反応によって色素が形成されるために起こります。
1. 薬物の吸収
– テトラサイクリンはカルシウムと結合しやすく、歯の形成中に歯のエナメル質や象牙質に取り込まれます。
2. 服用時期
– 妊娠中
妊娠の後期にテトラサイクリンを服用すると、胎児の歯の発育に影響を及ぼします。
– 幼少期
特に歯の形成期である0歳から8歳頃にテトラサイクリンを服用すると、永久歯の変色が引き起こされます。
⭕️変色の特徴
テトラサイクリンによる変色は、服用した期間や量、個人の体質などによって異なります。
1. 色調
– 初期の変色は黄色や茶色です。
– 時間が経つと、灰色や紫色に変化することがあります。
2. 変色の程度
– 軽度から重度までさまざまで、歯全体が変色する場合もあれば、部分的に変色する場合もあります。
⭕️影響
テトラサイクリン歯は審美的な問題を引き起こし、患者に心理的な影響を与えることがあります。また、重度の変色は治療が困難である場合もあります。
⭕️予防策
1. 妊娠中の服用を避ける
– 妊娠中の女性にはテトラサイクリンの使用を避け、代替の抗生物質を使用することが推奨されます。
2. 小児への配慮
– 8歳未満の小児にはテトラサイクリンの使用を避けるべきです。
⭕️治療方法
テトラサイクリン歯の治療は、変色の程度によって異なります。
1. ホワイトニング
– 軽度の変色に対しては、ホワイトニングが有効です。オフィスホワイトニングやホームホワイトニングが選択肢となります。
2. ラミネートベニア
– 中等度の変色には、歯の表面に薄いセラミックのベニアを貼る方法があります。これにより、見た目が大幅に改善されます。
3. クラウン
– 重度の変色に対しては、歯全体を覆うクラウンが使用されることがあります。これは変色を完全に隠すための方法です。
🔵まとめ
テトラサイクリン歯は、テトラサイクリン系抗生物質の使用によって引き起こされる歯の変色現象です。予防が最も重要であり、特に妊婦や小児への投与には細心の注意が必要です。治療は変色の程度によって異なりますが、うちのサロンでホワイトニングする方法もありますので、一度気になる方は試しにセルフホワイトニングもおすすめです!

やはり個人差はありますので、それでも気になる方は歯科医院での治療をおすすめします!
悩んでいたら是非一度Leendeにご相談下さい😊🫶🏻
